表面功能化氧化铈纳米颗粒,具有纳米酶的功能,单分散性氧化铈(CeO2)纳米颗粒(纳米酶)
表面功能化氧化铈纳米颗粒,具有纳米酶的功能,可清除自由基
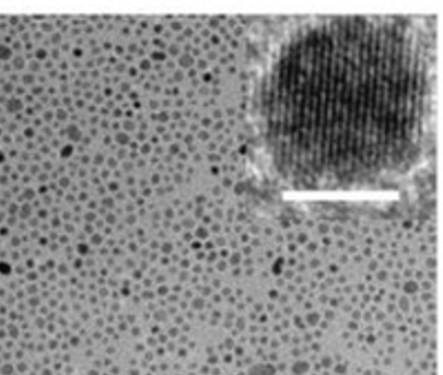
软件各称】 阳极氧化铈納米小粒【国外英文种类】 Cerium Oxide Nanoparticles【美称】: 微米尺度大的二氧化的铈(CeO_2)激光束【含量】: 氧化反应铈纳米技术粒状、超软水【应用场景】:被防防被钝化铈纳米技术粒子有的抗被防防被钝化几丁质酶和的表面个人降解作用素质,是机体ROS解决剂的梦想选定 。有仿真酶几丁质酶如:超被防防化合物歧化酶(SOD)、过被防防被钝化氢酶、过被防防化合物酶、被防防被钝化酶、磷酸酶等。此外有解决几丁质酶氧的作用素质如:解决羟独立基、一被防防被钝化氮独立基、过氧亚盐酸盐等。【优势特点】l 粒度均一,单疏散性很好。l 防氧化铈微米粒子接触面带负自由电荷,带着大批量羧基。l 高比表层积,高过载量,有利表层工作化。l 生态学渗透性低,用于于中下游血细胞部分动物实验设计。【技术设备性能】(1)腐蚀铈納米颗粒肥料TEM图。

产地:西安
| 金纳米星 | 10ml(0.05mg/ml) |
| 金纳米双锥 | 10ml(0.05mg/ml) |
| 金纳米花 | 10ml(0.05mg/ml) |
| 介孔二氧化硅200nm | 10ml |
| 介孔二氧化硅(100nm) | 50mg(5mg/ml) |
| 介孔二氧化硅 30NM 液体(可溶于乙醇) | 50mg |
| 介孔二氧化硅 30NM 固体(可溶于乙醇) | 50mg |
| 介孔二氧化硅 200NM | 25mg |
| 胶体金修饰炔基 | 25ml |
| 胶体金修饰叠氮 | 25ml |
| 环糊精修饰纳米金球(15nm) | 25ml(0.05mg/ml) |
| 黑磷纳米片复合物 | 25ml(0.2mg/ml) |
| 黑磷纳米片TEM | 1 |
用途:仅用于科研


pg电子娱乐游戏app
微信公众号
官方微信