金纳米颗粒通过修饰DNA,实现**组装
生产基地:广州性质:有机微米粒子使用用途:仅广泛用于教学科研祥和表明:仅用到成果转化,不是用到人体内科学实验!
金纳米颗粒通过修饰DNA

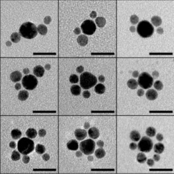
学术论文形容;金nm颗粒肥料的自装设可能极具当前的地方立体式排布与比较特殊的光电技术成分,被消费者们愈来愈就越多的加关注.1 对单突显金微米颗料的探究尤其诸多,只不过随着金与DNA 的配位影响,致使与金微米颗料连接的DNA 杂交育种率低.为着解決这事情,咱们在应有探究的核心上,引用特别的每段双链DNA,将同一的链段花费,防止出现了DNA 与金nm粒状的用最后上升了其与个人目标DNA 的交配率.2 从疑胶电泳、散射电镜的最后就可以得出,与原来的的方式 不同于,新方式 的混种杂交工作效率提升了达到6 倍.在人们的科学研究中,对双装饰金nm小粒的备制却非常少有简讯,而前一天实现的金nm小粒有的是全3’或全5’朝外的架构,因,小编选择转化成那端5’向外,而另那端3’向外的架构.小编主要采用另一种以双链DNA 为表格微信小程序模板的步骤来备制如此的双装饰金nm小粒,涉及5 nm 与10 nm 的金小粒设汁有所不同有所不同的表格微信小程序模板.3 成功失败的光催化原理好几回种创新的DNA 双绘制nm级小粒,将不同的的尾端绘制于金小粒上.如果采取琼脂糖抑菌凝胶电泳、散射电镜与紫外光光谱仪等的办法声明书类似这些的办法的靠普性与普遍性.

广州pg电子娱乐游戏app
怪物科枝是有现的集团是西南某家怪物集团,保障保障于金属材质互相配合物、热激话延期荧光(TADF)产品产品、光电科技发展产品产品、打开网页生态学等方面。广州pg电子娱乐游戏app
怪物科枝是有现的集团首要生意保障有奈米产品产品、荧光纺织纺织染料、打开网页生态学、技能保障、实验设计易耗品和消耗脂肪品、机器产品产品,制作而成磷脂、荧光渗透性纺织纺织染料等
| NH2-PLA-NH2(15kda) | 500mg |
| NH2-MIL-88(Fe)成功之后 | 1EA |
| NH2-MIL-88(Fe) | 1EA |
| NH2-Dextran 40k | 200mg |
| NH2- P2VP-COOH MW:10000 | 2g |
| NAVPNLRGDLQVLAQKVART | 50mg |
| NaGdF4 | 5ml(2mg/ml) |
| N3-BF3 定制 | 1G |
| N, N-Diisopropylethylamine(7087-68-5) | 25ml |
| N-(5-(2-azidoacetamido)pentyl)acrylamide | 500mg |
产地:西安
用处:仅用以科研课题舒心友情提示:仅用做科学,未能用做身体實驗!